- Joined
- Apr 6, 2013
- Messages
- 34,377
- Reaction score
- 69,040
First Coast News@FCN2go
2m2 minutes ago
Dr. Geoff Colino will take the witness stand next for the defense. #DonaldSmith
Stephanie Brown@SBrownReports
1m1 minute ago
Next witness for the defense is forensic neurologist Geoff Colino #DonaldSmith #CherishPerrywinkle
anne schindler@schindy
2m2 minutes ago
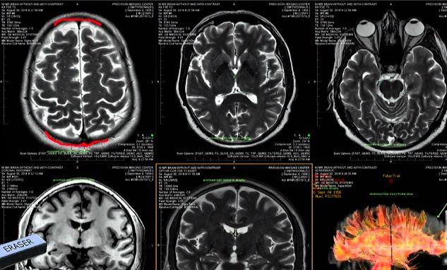
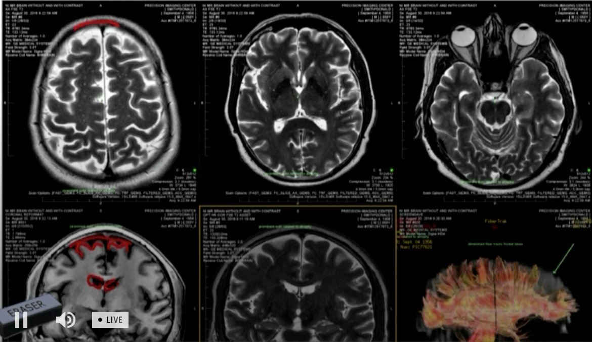
Dr Geoff Colino met with #DonaldSmith April 6 at the jail. He's a neurologist who conducted a history and physical & analyzed Smith's MRI brain scans @FCN2go
anne schindler@schindy
43s44 seconds ago
crack cocaine turned me into a monster neurologist says #DonaldSmith told him @FCN2go
First Coast News@FCN2go
2m2 minutes ago
Skating on thin ice and knew I was going to fall through, Dr. Colino said #DonaldSmith told him of his feelings before he killed Cherish. He said he was experiencing behaviors he wanted to stop.
Stephanie Brown@SBrownReports
1m1 minute ago
Colino says #DonaldSmith told him he was having trouble grasping and understanding his feelings, that he wanted to stop his behavior, and that he was "skating on thin ice and knew he was going to fall through" #CherishPerrywinkle
anne schindler@schindy
1m1 minute ago
#DonaldSmith MRI scans being discussed @FCN2go
------------------------------------------------------------------------------------------------------------------------------------------------------------------------------------
2m2 minutes ago
Dr. Geoff Colino will take the witness stand next for the defense. #DonaldSmith
Stephanie Brown@SBrownReports
1m1 minute ago
Next witness for the defense is forensic neurologist Geoff Colino #DonaldSmith #CherishPerrywinkle

anne schindler@schindy
2m2 minutes ago
Dr Geoff Colino met with #DonaldSmith April 6 at the jail. He's a neurologist who conducted a history and physical & analyzed Smith's MRI brain scans @FCN2go
anne schindler@schindy
43s44 seconds ago
crack cocaine turned me into a monster neurologist says #DonaldSmith told him @FCN2go
First Coast News@FCN2go
2m2 minutes ago
Skating on thin ice and knew I was going to fall through, Dr. Colino said #DonaldSmith told him of his feelings before he killed Cherish. He said he was experiencing behaviors he wanted to stop.
Stephanie Brown@SBrownReports
1m1 minute ago
Colino says #DonaldSmith told him he was having trouble grasping and understanding his feelings, that he wanted to stop his behavior, and that he was "skating on thin ice and knew he was going to fall through" #CherishPerrywinkle
anne schindler@schindy
1m1 minute ago
#DonaldSmith MRI scans being discussed @FCN2go

------------------------------------------------------------------------------------------------------------------------------------------------------------------------------------