- Joined
- Oct 27, 2008
- Messages
- 4,059
- Reaction score
- 23,575
https://identifyus.org/en/cases/7293
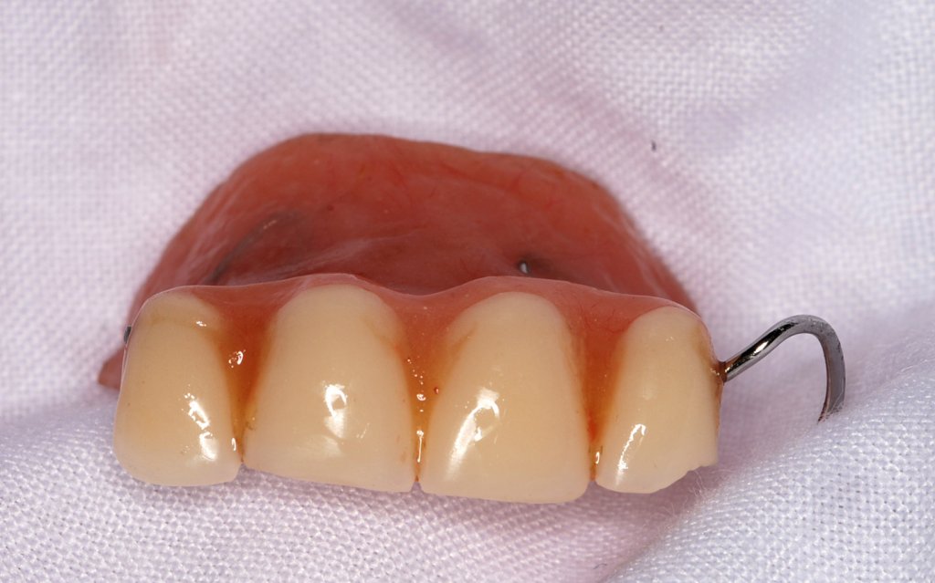
Note: I'm having computer issues, so this is the best cut/paste job I could do. But I happened to catch "The First 48" and this case was on it. Rarely do we get such an in-depth look into the initial investigation of an UID.
Here is the link to the A&E page for the show where you can click the link to watch this episode, "John Doe/Night of the Dead":
http://community.aetv.com/service/displayDiscussionThreads.kickAction?as=119137&w=265891&d=564911
NamUs UP # 7293
ME/C Case Number: ME-09-1257
Jefferson County, Kentucky
30 to 40 year old White Hispanic/Latino Male
Case Information
Status Unidentified
Case number ME-09-1257
Date found December 03, 2009 12:26
Date created June 18, 2010 11:29
Date last modified September 23, 2011 11:03
Date QA reviewed June 19, 2010 07:24
Exclusions
The following people have been ruled out as being this decedent:
Amos Mortier 1977 Wisconsin
Robert Vernier 1969 Louisiana
Demographics
Estimated age Adult - Pre 40
Minimum age 30 years
Maximum age 40 years
Race White
Ethnicity Hispanic/Latino
Sex Male
Weight (pounds) 131, Measured
Height (inches) 64, Measured
Notes on body parts recovered
Recognizable face
Probable year of death 2009 to 2009
Estimated postmortem interval 24 Hours
Any thoughts as to who this could be??

