Trooper Larry Abel described it as the most brutal murder he had seen in 15 years as an officer.

Re: the homosexual activity -- if he had engaged in anal sex (willingly or unwillingly) before he died, that would potentially be detectable on the PM.

The girls, Bridget Allen and Sherry Wilson, both 14, left home one day in January 1990 and were never seen again.
In March that year, a severed arm washed up in Pottinger Creek near New Hope. Authorities determined the arm had been sawn from the body of a young person, but the victim was not identified for several months.
Clopton left behind a diary that implicated Cable in the rapes and murders. He wrote also that he had killed Allen and Wilson with a hammer, dismembered them and strewed their body parts over a three-county radius.
While searching through old news archives, Stefanie found that James Cable's name came up during the investigation into an unidentified man found dismembered in rural Daviess County in 1990. Cable was arrested shortly after that for the rape, kidnapping and torture of a 15-year-old Jefferson County girl. She was able to escape after killing Cable's accomplice, Philip Clopton.
Because it was in the same time frame, and the unidentified man was also sexually assaulted and dismembered, the Daviess County Sheriff's Department tells Newswatch they will check DNA found on the body to see if it's a match to Cable, as will Louisville detectives.
![JJAntinoro[1].jpg JJAntinoro[1].jpg](https://websleuths.com/data/attachments/96/96504-e3961852939a1136f0b6ab7900d18a33.jpg?hash=45YYUpOaET)
![CMartinez[1].jpg CMartinez[1].jpg](https://websleuths.com/data/attachments/96/96505-399e8ea04ef01c8d95601d3e59b84490.jpg?hash=OZ6OoE7wHI)
![TLKeays[1].jpg TLKeays[1].jpg](https://websleuths.com/data/attachments/96/96506-066b46f2b5aac5d18d5ea210ae440656.jpg?hash=BmtG8rWqxd)
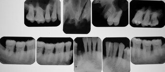
There is something I don't understand. His Wiki says that his teeth were removed, but Namus says his dental information is available and entered. There are even dental radiographs available on his Namus page, so I suppose his Wiki page has some false information.
this guys height is off http://www.doenetwork.org/cases/1473dmor.html View attachment 120626
Name: Timothy Lee Keays
Case Classification: Endangered Missing
Missing Since: June 27, 1989
Location Last Seen: Ashland, Jackson County, Oregon
Physical Description
Date of Birth: January 24, 1957
Age: 32 years old
Race: White
Gender: Male
Height: 5'6"
Weight: 130 lbs.
Hair Color: Brown
Eye Color: Brown
Nickname/Alias: Unknown
Distinguishing Marks/Features: He had been taking medications for respiratory ailments.
Identifiers
Dentals: Not Available
Fingerprints: Not Available
DNA: Available
Clothing & Personal Items
Clothing: Unknown
Jewelry: Unknown
Additional Personal Items: Unknown
Circumstances of Disappearance
Timothy Lee Keays is a Vietnam Veteran who was last seen on the Southern Oregon State College Campus in Ashland, Oregon on June 27, 1989. Mr. Keays was living with his mother in Talent, Oregon and taking medications for respiratory ailments. In 1993, acting on information that he may have been the victim of foul play, investigators with the Jackson County Sheriff
MadameX: I like Antinoro, glasses and bushy brows!
Me too!
There is something I don't understand. His Wiki says that his teeth were removed, but Namus says his dental information is available and entered. There are even dental radiographs available on his Namus page, so I suppose his Wiki page has some false information.