On the 20th of December 2015 a body of a young looking Asian male was found in the river the Vecht in the small place of Oud-Zuilen (part of Stichtse Vecht).
Age: 20-30
Length: 175 cm (5'9 feet)
Weight: 75 kg (165 lbs), slim to normal posture
Black Hair
Brown Eyes
No tattoos
Small amount of facial hair on upper lip.
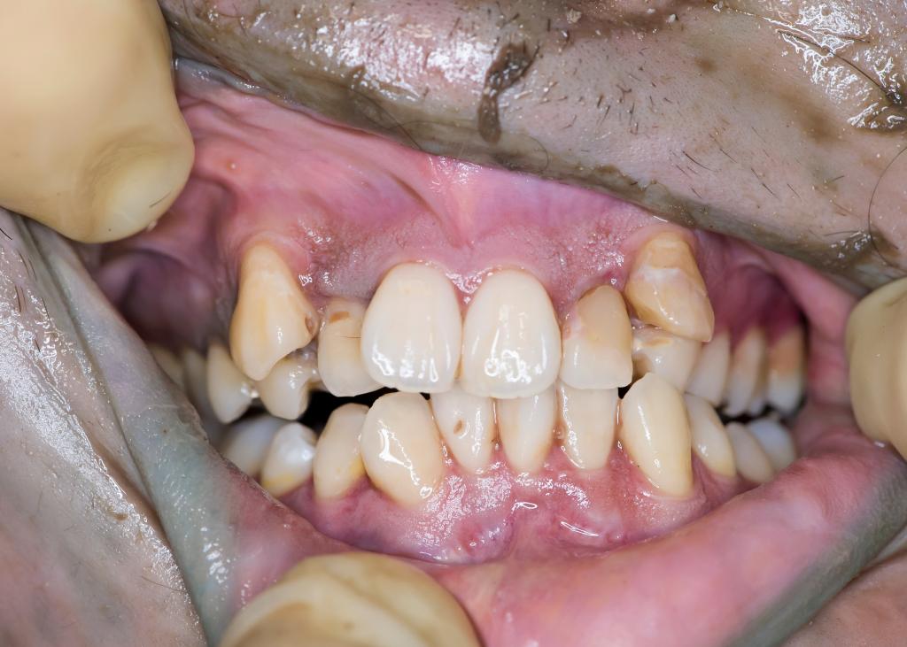
Noticeable are the double canines (see picture).
Pictures of: computer reconstruction by Dundee University:
Post Mortem picture of the complete face; and a picture of his teeth to illustrate the double canines can both be found at the links from the Dutch police
The Unidentified male was burried in March 2016 in Leusden
Video on the case in Opsporing Verzocht (17 May 2016):
[video=youtube;k0D6waCq6AA]https://www.youtube.com/watch?v=k0D6waCq6AA[/video]
18 May 2016 the local show of the province Utrecht (Bureau Hengeveld) also covered the case youtube.com/watch?v=giVOMGwo4HU They mention possibly Chinese, but definiatly Asian, could be that the possibly Chinese is derived only from the appearance.
Case information at the Dutch police: https://www.politie.nl/en/wanted-and-missing/unidentified-persons/2016/januari/oud-zuilen-vecht.html
Same page in Dutch (holds the same information): https://www.politie.nl/gezocht-en-v...e-personen/2016/januari/oud-zuilen-vecht.html
Edit: I found the images to be a little too large/shocking here, given the computer image is available I decided to keep only that one here. Further images can be found at above links from the Dutch Police.
Age: 20-30
Length: 175 cm (5'9 feet)
Weight: 75 kg (165 lbs), slim to normal posture
Black Hair
Brown Eyes
No tattoos
Small amount of facial hair on upper lip.
Noticeable are the double canines (see picture).
Pictures of: computer reconstruction by Dundee University:
Post Mortem picture of the complete face; and a picture of his teeth to illustrate the double canines can both be found at the links from the Dutch police
The Unidentified male was burried in March 2016 in Leusden
Video on the case in Opsporing Verzocht (17 May 2016):
[video=youtube;k0D6waCq6AA]https://www.youtube.com/watch?v=k0D6waCq6AA[/video]
18 May 2016 the local show of the province Utrecht (Bureau Hengeveld) also covered the case youtube.com/watch?v=giVOMGwo4HU They mention possibly Chinese, but definiatly Asian, could be that the possibly Chinese is derived only from the appearance.
Case information at the Dutch police: https://www.politie.nl/en/wanted-and-missing/unidentified-persons/2016/januari/oud-zuilen-vecht.html
Same page in Dutch (holds the same information): https://www.politie.nl/gezocht-en-v...e-personen/2016/januari/oud-zuilen-vecht.html
Edit: I found the images to be a little too large/shocking here, given the computer image is available I decided to keep only that one here. Further images can be found at above links from the Dutch Police.