Identified! UK - David Lytton, South Pennines, 'Neil Dovestone', 65-75, Dec'15

  • #261
Yes AFAIR the isotope testing is being done in Holland.
 
  • #262
I thought the surgery was quite recent like 2011 or 2012 iirc. Will try to look up.

Sent from my SM-J500FN using Tapatalk
 
  • #263
http://www.bbc.com/news/resources/idt-e8c6cbab-da44-4a3c-8f9b-c4fccd53dd24
attachment.php

https://www.theguardian.com/uk-news/2016/may/14/mystery-saddleworth-moor-who-was-neil-dovestone

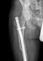
As anticipated, fixed to the femur was a 10cm surgical titanium plate of a sort used in fractures. The hope was that it would carry an identifying number. The strength of the femur means it tends to fracture only after significant trauma – a road accident, or a fall from a height. The operation is not particularly common, and in the UK such plates are routinely numbered; but in this instance there was only a simple diagram indicating the angle at which the plate was to be implanted, and the logo of the manufacturer, Treu-Dynamic, whose website states: “Treu Dynamic International (Pvt) Ltd was established in 1997 to provide quality services in the field of surgical, orthopaedic, spinal and maxillofacial instruments and implants in the Pakistan market.” While the plate is also sold into Morocco, the fact that it did not carry an identifying number means it could only legally have been implanted in Pakistan. According to Treu-Dynamic, around 500 of these plates were distributed each year in Pakistan between 2001 and 2015, meaning approximately 7,000 during the relevant period. Assuming that half of the patients were male and half of the operations involved the left leg, the number who underwent this operation is around 1,750. (These are crude figures, Coleman stresses.)
rbbm.
 

Attachments

  • xx500-c0194282-pinned_femur-lr_5hryhap.jpg
    xx500-c0194282-pinned_femur-lr_5hryhap.jpg
    24.5 KB · Views: 259
  • #264
I wonder when that process started and whether it is restricted to babies born in Pakistan or whether fingerprinting is also carried out for anyone who is naturalised.

Given Neil's estimated age range, he was probably born between 1940 and 1950.

It's possible he was born in the subcontinent before India and Pakistan became independent.

There were Brits who chose to stay on and live out their lives in the newly independent countries. These were mostly those coming up to retirement who didn't have enough pension or savings to be able to ensure a decent standard of living back in the UK but could live on comfortably there on their resources, but some younger technical people stayed on such as engineers. If he'd been born there under the Raj his British citizenship could have been complicated and he could have fallen through the bureaucratic cracks. Perhaps a British subject rather than a British citizen, naturalised as an Indian or Pakistani citizen perhaps decades later when he needed a passport or resurrected his Britishness in order to avoid military service overseas.

Dunno. I'm just trying to think of ways he might have slipped between the cracks.

Either he was living in the UK in the run-up to his death (in which case why has nobody identified him?) or he legally entered the UK on a passport issued in the past 10 years. This is assuming he didn't enter on a false passport, of course.

Fingerprints are collected for the national ID cards in Pakistan. All citizens naturalized or Pakistani born need the ID card for getting a passport, buying flight tickets, getting a driving license, voting or even buying a phone SIM card. The ID cards exist since 2000. This effectively rules him out as Pakistani. He could however be from India, Afghanistan or any country close to Pakistan.
 
  • #265
Forgot about the small detail that Neil D. stopped at a gambling arcade, i could be wrong, but that does not seem like a place an older, somewhat refined gentleman might go.
Wonder what type of "games" he played and if gambling arcades could be a hint to his identity?
imo.
 
  • #266
I've spent hours googling my bottom off but nothing :/ I hate to say it though... I get a bad feeling when I look at the photos of him. He might not show up as having been arrested but may have committed crimes. Anyway enough ranting I hope it gets solved soon :)
 
  • #267
Ooh is this his actual xray?
 
  • #268
  • #269
I don't think it is because I did a reverse search and it came up with the xray on Getty images :/. Unless the dr uploaded it onto the internet at some point.
 
  • #270
I don't think it is because I did a reverse search and it came up with the xray on Getty images :/. Unless the dr uploaded it onto the internet at some point.

You are probably correct, had assumed it was the actual one because it might have helped with identity if the surgeon recognized their own work. imo, speculation.
 
  • #271
That's what I thought and why I did the reverse image. It's a 30 yr old guys though :/ could have been useful :)
 
  • #272
No idea what tourist figures are like for Pakistan , could be a needle in a haystack.

In recent years there has been virtually no overseas tourism into Pakistan other than Pakistanis visiting family. Back in 2000 I attended a couple of adventure travel events in London, and remember a number of Pakistan-based travel companies trying to drum up interest in 4x4 safaris into the Karakorum mountains, the NW Frontier, Kashmir and similar bits of the north and west. I don't know if they got any interest but I do know that the larger UK-based companies such as Explore and Exodus dropped Pakistan as a destination after 9/11 since the areas of the country most likely to interest western visitors were precisely those where militants were active or where there were tensions with India.
 
  • #273
Bumping this maddening case. Will the man ever be ID'd?
 
  • #274
Just been rereading some of the key info.

Was there ever any follow up on the attempts to trace the surgeon?

Was there a convincing hypothesis on how the body was positioned/laid given that he died from strychnine poisoning?

Any theory as to why he bought a return train ticket to London?

Sent from my SM-J500FN using Tapatalk
 
  • #275
Confusingly, I don't think he looks Pakistani in the artist's drawing. Yet the Pakistani connection is the only lead that feels like jt has legs 😕

Not that it matters if he doesn't 'look' that way IMO of course!

Reading the Guardian account, the detective alluded to the fact that Neil 'looked' more non-white IRL than on the cctv. Although he wouldn't elaborate exactly what he meant by that.

Sent from my SM-J500FN using Tapatalk
 
  • #276
Worth a read as very comprehensive and empathetic:

www.theguardian.com/uk-news/2016/may/14/mystery-saddleworth-moor-who-was-neil-dovestone

*“When you look at the CCTV,” he says, “the gentleman looks white European.” He’s choosing his words very carefully. “He does, to my mind, and to everyone I’ve spoken to. But when you see the deceased… it may be that he is from Pakistan.” He won’t say just what he means by this, but adds that the CCTV footage does not give a particularly representative impression of Neil Dovestone’s face.

Sent from my SM-J500FN using Tapatalk
 
  • #277
BUMP

I thought this man would have been identified a long time ago.
There seems to be so much information, yet it seems like there just hasn't been enough for an identification.
 
  • #278
Do you think our faithful friend will be ID'd by Christmas? Y/N

I'll vote no. (But maybe!)

He's teaching both police and medical science a lesson by defeating their methods thus far.
 
  • #279
Do you think our faithful friend will be ID'd by Christmas? Y/N

I'll vote no. (But maybe!)

He's teaching both police and medical science a lesson by defeating their methods thus far.

It's a no from me, sadly.
 
  • #280
Do you think our faithful friend will be ID'd by Christmas? Y/N

I'll vote no. (But maybe!)

He's teaching both police and medical science a lesson by defeating their methods thus far.

It's a no from me too.

I'm repeating myself but I think about him every time I drive 'over the tops', which isn't very often at this time of year because as several of us have said previously, it's a bleak foreboding place.
When I'm going over to White Rose country in winter I prefer the M62, which is a longer route from where I live, not just because of the weather but because I find the moors incredibly creepy.

I'm convinced that it wasn't coincidence that our UID ended up there. The Moors meant something to him in some way.
 

Guardians Monthly Goal

Members online

Online statistics

Members online
141
Guests online
2,085
Total visitors
2,226

Forum statistics

Threads
638,482
Messages
18,729,278
Members
244,455
Latest member
pigasuswjb
Back
Top