PatLaurel

Well-Known Member
Websleuths Guardian
Joined
May 26, 2019
Messages
2,799
Reaction score
12,290
  • #1
The National Missing and Unidentified Persons System (NamUs)


Estimated Age Group- Adult - Pre 30

Height 5' 7"(67 inches) , Estimated
Weight 93-104 lbs, Estimated

Hair Color- Gray or Partially Gray
Head Hair Description- Straight brown and gray scalp hair measures up to approximately 1/8 in

Circumstances of Recovery- On 1/7/2023, the MEO was notified of a decedent that was found floating in the Atlantic Ocean approximately 10 miles offshore. He is clad in a blue in color long sleeve shirt. He was wearing no jewelry and had no identification.
 
  • #2
Namus page states that he had an orange flotation device on him. It is so perplexing to me when someone is found way out at sea. How can the person not be missed by someone? The flotation device is indicative of a boater or kayaker. So someone went out on a boat or kayak and never came back. How could that not be noticed by anyone? My mind went to a Cuban migrant who met a bad fate and got pulled north by the gulfstream but the life vest makes that extraordinarily unlikely.
Baffling.
 
  • #3
Namus page states that he had an orange flotation device on him. It is so perplexing to me when someone is found way out at sea. How can the person not be missed by someone? The flotation device is indicative of a boater or kayaker. So someone went out on a boat or kayak and never came back. How could that not be noticed by anyone? My mind went to a Cuban migrant who met a bad fate and got pulled north by the gulfstream but the life vest makes that extraordinarily unlikely.
Baffling.
That’s what I’m thinking too. Odd case. I’m also thinking he wasn’t a strong swimmer so he used flotation devices to try and stay afloat as he got to his destination. He could well be a boater or a kayaker, just a guy out for a nice trip on his boat only to wind up dead. I’m thinking possibly drowned?
 
  • #4
My mind went to a Cuban migrant who met a bad fate and got pulled north by the gulfstream
I wonder if they can determine where the dental plate came from. That would be a big clue
 
  • #5
That’s what I’m thinking too. Odd case. I’m also thinking he wasn’t a strong swimmer so he used flotation devices to try and stay afloat as he got to his destination. He could well be a boater or a kayaker, just a guy out for a nice trip on his boat only to wind up dead. I’m thinking possibly drowned?
Drowning would surely be the presumptive cause of death...let's put it this way: if a dead guy 10 miles out in the ocean didn't drown that would open up one heck of a can of worms.
Another odd thing is that I have found zero news coverage. You would think that this would be newsworthy not to mention might help generate some leads as to who this gentleman is.
 
  • #6

Attachments

  • IMG_4242.jpeg
    IMG_4242.jpeg
    123.4 KB · Views: 14
  • #7
  • #8
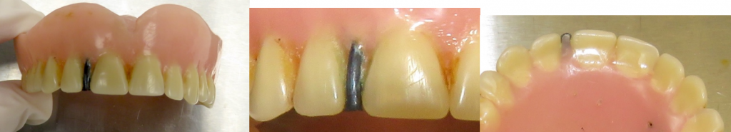
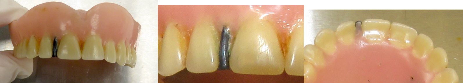
Original

Picture from NamUs
 
  • #9
Original

Picture from NamUs
I was just posting them.

That distinctive spike should make it easy to identify the person who wore those dentures.

MOO JMO
 

Attachments

  • Original (1).png
    Original (1).png
    233.9 KB · Views: 18
  • #10
I was just posting them.

That distinctive spike should make it easy to identify the person who wore those dentures.

MOO JMO
I noticed the spike. Dental plates don’t usually have that, right? Also what is a dental plate? Is it like dentures or something?
 
  • #11
I noticed the spike. Dental plates don’t usually have that, right? Also what is a dental plate? Is it like dentures or something?
BBM
I'm not a prosthodontic but I believe dentures and dental plates are the same. The spike is what's intriguing me. I've seen people with missing teeth, grills, gold implants, screws showing but, it is the first time I see a spike filling a gap.
Could it be a cultural thing, similar to the grills?

MOO JMO
 
  • #12
BBM
I'm not a prosthodontic but I believe dentures and dental plates are the same. The spike is what's intriguing me. I've seen people with missing teeth, grills, gold implants, screws showing but, it is the first time I see a spike filling a gap.
Could it be a cultural thing, similar to the grills?

MOO JMO
Maybe. Interesting theory. Never thought of it.
 
  • #13
NamUs lists his age as Pre 30, but he has grey hair and a total top denture?? Is this a typo?
 
  • #14
NamUs lists his age as Pre 30, but he has grey hair and a total top denture?? Is this a typo?
It could be frosted hair or dyed and his denture could just be from poor dental hygiene and him eventually needing it. I’m what they would list as pre 20 and I, quite honestly, if I didn’t get my dental hygiene under control I woulda probably had denture too by 25.
 
  • #15
NamUs case modified today but no visible changes.


My mind went to a Cuban migrant who met a bad fate and got pulled north by the gulfstream but the life vest makes that extraordinarily unlikely.
Baffling.
When rafters are intercepted, the U.S. Coast Guard provides life vests before transfer at sea. On January 7, 2017, the “wet foot, dry foot” policy was still in effect. He may have jumped into the water after interception to reach land on his own rather than face repatriation. Identifying the life jacket could help confirm or dismiss this theory.
It’s also not "extraordinarily unlikely" that a Cuban rafter had a life jacket. Many things wash ashore, There's always something stored somewhere from 60 years ago, or even older, or someone who knows someone. For Cubans, little is impossible. MOO JMO

Cuban Rafter Phenomenon | University of Miami Libraries


BalserosUSCG.webp


Balseros.webp
 
  • #16
That's for sure about Cuban ingenuity. My friend's son who was in the Coast Guard once intercepted and photographed an old pickup truck that was converted into a floating vessel. Incredible! As far as the life jackets, I would think that if the vest was already given to the rafter and then they went overboard that they would be easily retrievable but who knows. Certainly a possibility. What I was probably thinking when I posted was doubt that the average balsero would have a life vest on from the outset of their journey but, again, who knows...entirely possible.
 
  • #17
That's for sure about Cuban ingenuity. My friend's son who was in the Coast Guard once intercepted and photographed an old pickup truck that was converted into a floating vessel. Incredible! As far as the life jackets, I would think that if the vest was already given to the rafter and then they went overboard that they would be easily retrievable but who knows. Certainly a possibility. What I was probably thinking when I posted was doubt that the average balsero would have a life vest on from the outset of their journey but, again, who knows...entirely possible.
I agree with everything you said... My comment was meant solely to highlight (once again, and never enough) the "ingenuity" of the Cuban people. :)🇨🇺
MOO JMO

BBM
Was it the famous 1951 green Chevrolet?
 
  • #18
I agree with everything you said... My comment was meant solely to highlight (once again, and never enough) the "ingenuity" of the Cuban people. :)🇨🇺
MOO JMO

BBM
Was it the famous 1951 green Chevrolet?
Actually, I do not think it was the infamous one that got all the worldwide press. If my memory serves me accurately, it was a few years after that one. Around 2008-2010 maybe.
And yes, to echo your sentiment, Cubans are extremely resourceful people.
 
  • #19
Case modified on March 10. No visible changes that I can see and no exclusions.
Long shot but, could he be one of the nine Cuban migrants?

Cuban survives, 9 vanish after boat capsizes off Lake Worth Beach
Replying to myself for context.

For years now, that I go through photos and videos of balseros lost at sea almost every day, trying to match them to JDs and hoping their families have some closure.
I recently found more photos of one of these nine migrants, he seems to fit this Doe’s description. In the only photo where his teeth are partially visible, I can see what looks like a spike, just like the one in the dental plates. I’m not sure, though, whether it’s actually a spike, a shadow, a gap or just my hope that our John Doe can be identified.
That said, I’m in a “balseros” Facebook group where families post their loved ones who disappeared at sea. Do you think I should contact the group moderator and ask them to post the dental plates photo, or, if too sensitive to post, make a written post describing them to see if anyone recognizes this Doe? MOO JMO
 
  • #20
Case modified on March 10. No visible changes that I can see and no exclusions.

Replying to myself for context.

For years now, that I go through photos and videos of balseros lost at sea almost every day, trying to match them to JDs and hoping their families have some closure.
I recently found more photos of one of these nine migrants, he seems to fit this Doe’s description. In the only photo where his teeth are partially visible, I can see what looks like a spike, just like the one in the dental plates. I’m not sure, though, whether it’s actually a spike, a shadow, a gap or just my hope that our John Doe can be identified.
That said, I’m in a “balseros” Facebook group where families post their loved ones who disappeared at sea. Do you think I should contact the group moderator and ask them to post the dental plates photo, or, if too sensitive to post, make a written post describing them to see if anyone recognizes this Doe? MOO JMO
Oh yes, I think that you should. That spike is such a unique feature that I think someone who knew this Doe may very well remember it.
Keep us posted.
 

Guardians Monthly Goal

Members online

Online statistics

Members online
72
Guests online
1,297
Total visitors
1,369

Forum statistics

Threads
646,305
Messages
18,857,175
Members
245,964
Latest member
👁️Icyu👁️
Top