Jahi’s family wants her declared 'alive again’

Status
Not open for further replies.
  • #101
Back at the start of this thread, when I read that there was a team of specialists from a hospital, that had retested her, I thought it was maybe those from the hospital where she was staying in NJ. And I thought, wow, maybe they saw something while treating her every day. And I was getting ready to throw my hat on the grill and cook it up for supper.

But since it's these same 'specialists' that have touted their own POV since BEFORE she was injured, I have my doubts. I feel they had a certain agenda. And might not be unbiased enough to do the tests objectively. Also, the woman who specializes in counseling autistic patients---how is she qualified to do such a complicated neurological diagnosis?
 
  • #102
Paper presented in May 2014 at an American Academy of Neurology meeting.
Note: 4 of the co-authors are Philip Defina, Dr. Calixto Machado, Dr. Charles Prestigiacomo, and (former) Dr. Jonathan Fellus (who had his medical license revoked this past summer.) The first 3 are part of Dolan's team of medical experts.
http://www.neurology.org/content/82/10_Supplement/P4.285.long

More detail about the authors & affiliations, from above link:
"Re-evaluating Brain Death: The Potential for Treatment and Recovery after Brain Injury (P4.285)

-Show Affiliations

  • [SUP]1[/SUP]Chester NJ United States
  • [SUP]2[/SUP]Havana Cuba
  • [SUP]3[/SUP]New York NY United States
  • [SUP]4[/SUP]International Brain Research Foundation/Advanced Neurocare Flanders NJ United States
  • [SUP]5[/SUP]Internationl Brain Research Foundation, Inc. Flanders NJ United States
  • [SUP]6[/SUP]Neurology Services Inc. Washington DC United States
  • [SUP]7[/SUP]University of Medicine and Dentistry Newark NJ United States

  1. Neurology April 8, 2014 vol. 82 no. 10 Supplement P4.285".
 
  • #103
Did you all think her feet looked esp poofy?
I say let a team of different drs. do new tests and confirm she is brain dead.
 
  • #104
Back at the start of this thread, when I read that there was a team of specialists from a hospital, that had retested her, I thought it was maybe those from the hospital where she was staying in NJ. And I thought, wow, maybe they saw something while treating her every day. And I was getting ready to throw my hat on the grill and cook it up for supper.

But since it's these same 'specialists' that have touted their own POV since BEFORE she was injured, I have my doubts. I feel they had a certain agenda. And might not be unbiased enough to do the tests objectively. Also, the woman who specializes in counseling autistic patients---how is she qualified to do such a complicated neurological diagnosis?

I completely agree, katydid23, and a great observation. I was kind of in the same place last week-- skeptical, but open to hear what I thought was going to be a press conference from the St.Peter ICU staff in NJ.

My skepticism only grew as Dolan became more "coy" about who his experts were-- and I was kind of flabbergasted that he did not name them in the memorandum/ petition he filed. Say what?? It was, IMO, kind of rude, and somewhat conceited or arrogant, to the court and the Judge-- which is kind of not a good place to be in when you are the one petitioning for something "special" and out of the ordinary, IMO!

The way I read that memorandum from Dolan was, "you may not think you have jurisdiction, but I have decided you DO, Judge, and by the way, we have experts and proof. But you'll have to play ball with us before we show our proof, and tell you who is on the team, and what they have to say."

(And the typos and mistaken medical terms in the document filed were more than a bit off-putting, IMO. Like, "I don't have time to proof read this.)

Confirmation bias can be a very seductive and insidious mistress, IMO. It's hard for researchers to not want to waltz and snuggle with things that seem to support their hypothesis. Every single name that has come out in the past week associated with this case has, as you eloquently point out, had their personal POV on brain death, recovery from brain death, and what constitutes "life", for many years. Even the eminent Dr. Shewmon has been showing his cards for decades. So it doesn't seem unusual to me that the same names would have the same opinions and "findings" in this case.

I was hoping for a bunch of respected, in the trenches, but unknown intensivists from St Peter Hospital in NJ to come out and say we believe that Jahi is alive because ".....xyz...."

Instead, we have more of the same "brain death doesn't exist", and "organ donation is a flawed process based on a lie" individuals we have been hearing from since last December. IMO.
 
  • #105
Did you all think her feet looked esp poofy?
I say let a team of different drs. do new tests and confirm she is brain dead.

Looks like she has edema in her feet.
 
  • #106
If Dolan contacted some of the above med professionals, say, in Dec.2013,
when looking for BD experts to use re Jahi immed then or later, is it poss ---
one or more could have decided to conduct some new research, write it up,
get paper pub'ed in Neurology in Ap 2014, and present it at May 2014 meeting?
Anyone know if this could be done like ^ this^ at warp speed?

My sense of timing says - no, the research, publishing, and presenting pipeline is much loooooooooonger.
 
  • #107
Did you all think her feet looked esp poofy?
I say let a team of different drs. do new tests and confirm she is brain dead.

Yes. Quite puffy and with pronounced foot drop. Puffiness is to be expected. Poor venous return, etc. from almost a year of bedrest. I wonder if they are using sequential compression devices? But then, it doesn't really matter, I suppose.
 
  • #108
Yes. Quite puffy and with pronounced foot drop. Puffiness is to be expected. Poor venous return, etc. from almost a year of bedrest. I wonder if they are using sequential compression devices? But then, it doesn't really matter, I suppose.

Could compression devices be used with her feet possibly filled with fluid?
 
  • #109
More detail about the authors & affiliations, from above link:
"Re-evaluating Brain Death: The Potential for Treatment and Recovery after Brain Injury (P4.285)

-Show Affiliations

  • [SUP]1[/SUP]Chester NJ United States
  • [SUP]2[/SUP]Havana Cuba
  • [SUP]3[/SUP]New York NY United States
  • [SUP]4[/SUP]International Brain Research Foundation/Advanced Neurocare Flanders NJ United States
  • [SUP]5[/SUP]Internationl Brain Research Foundation, Inc. Flanders NJ United States
  • [SUP]6[/SUP]Neurology Services Inc. Washington DC United States
  • [SUP]7[/SUP]University of Medicine and Dentistry Newark NJ United States

  1. Neurology April 8, 2014 vol. 82 no. 10 Supplement P4.285".

The other thing to note is that the "Advanced Care Protocol" referred to in the journal article was developed by the International Brain Research Foundation. (Defina's own personal organization).

http://www.ibrfinc.org/

Here is an interesting (cough) press release from Defina's group, Nov 15, 2010, about their Advanced Care Protocol (ACP), discussed in the April 2014 article about the young woman with the overdose. (What happened to the 50 patients they "awakened" in the press release?)

http://www.ibrfinc.org/media/IBRF_PRESS_RELEASE-Retrospective.pdf

Under the direction and leadership of Philip A. DeFina, PhD, IBRF is the world leader in unlocking the final frontier of the human brain. The application of their cutting-edge brain discoveries have resulted in monumental successes. Dr. DeFina and his team have been successful in awakening over 50 individuals from coma. Their research and worldwide collaborations focus on treatment and education in the areas of severe disorders of consciousness and coma, traumatic brain injury, Alzheimer’s and dementia, autism, learning disorders, ADHD, Parkinson’s and other neurological disorders.
 
  • #110
  • #111
Links to the 2 videos Dolan showed at his press conference.

http://youtu.be/jsSeM0RVKuA

Uploaded today from Dolan Law firm. Video from May 20, 2014

http://youtu.be/yh4YC-XjG9k


http://blog.sfgate.com/stew/2014/10/03/jahi-mcmath-videos-released/

This is heartbreaking. There are very strict and distinct tests to determine brain death or vegetative state. One part of the tests are to distinguish random movements with intentional movements. This looks like a family that has no understanding of this and probably denies all education from the physicians about it. I got to spend a month in a rehab hospital that worked with brain injuries in adults and children. Anoxic injuries have the worst prognosis. I hope this family finds peace and let's this poor girl go.


Sent from my iPad using Tapatalk
 
  • #112
  • #113
I certainly don't think she is moving anything on command. Her leg did move, but it looked to be some jerky movement, not moving something on command.
She can not breathe on her own.
Spending enormous amounts of resources on a person that can only lay in bed does not seem to me like a good way to spend resources.

Brain injured patients have significant tone and spasticity and suffer from muscle spasms. That twitch of her foot looks like a spasm to me.


Sent from my iPad using Tapatalk
 
  • #114
  • #115
Just have to say I can't wait to find out how this whole situation is going to go in the courts. It's fascinating on so many levels.

I'm quite interested to see what happens in Judge Grillo's court this week-- whether the case is referred to some kind of state or county agency, or if it proceeds within the county court structure. Dr. Shewmon's declaration (above) is quite intriguing. If this survives the court challenge, it will be really, really interesting to see what a panel of impartial experts would find. Will they have some measure of agreement with Dr. Shewmon and Dolan's team of experts, or disagree completely?

This has the makings of an epic "battle of the experts"-- which includes medicine, politics, religion, money, and government statutes and regulations. (Kind of like nascar for nerds.)

The saddest part is that I truly believe that whatever state Jahi McMath is in (barely alive or dead), she won't ever improve, and this whole court journey is an exercise in more pain, anger, and frustration for her mother. I still think the family is being exploited (albeit willingly) by others with an agenda.

I'm still very highly skeptical that the movements described by the family, Dr. Shewmon, Dolan, and his experts are at all voluntary. I am just not persuaded at all that the movements are voluntary, and I'll need a whole lot more convincing. I think the MRI information is very interesting, that she has retained some structure to her tissue, despite the overwhelming and devastating condition it is in. I'm not ready to say that remnants of structural tissue equal "alive". I need a whole lot more convincing in that area, as well as whatever the EEG supposedly shows.

I really would like to see a completely impartial panel of experts evaluate her, and compare their findings to those of Dolan's team of experts.

I think Dr. Shewmon is a very intelligent, highly educated, and well spoken professional, with a substantial body of work in the area of brain death, but I'm not sure I agree with all of his philosophies (as I understand them). I do respect his opinions, but need other highly educated professionals to weigh in as well. That's where I'm at.

I'm also quite concerned with the implications that the original tests in Dec of last year were deemed accurate and correct in diagnosing brain death by Dr. Shewmon and Dolan's team, but that nearly a year later, she could be "undead", or "alive again" by some extreme technicality. What could that mean for everyone of us in society?

That we maintain every single person who meets brain death criteria for years while we decide if they ever display any miniscule chemical or electrical signs that they might be "alive"? While we wait to see, a year later, if their brains have liquefied, by MRI? I just don't think that is at all feasible for our society-- on a number of levels.

Worse yet, that we abandon all beating heart organ donations? I see that as far more devastating for society as a whole, than the benefit we collectively may reap from maintaining brain dead people in perpetuity, waiting to see if their brains liquefy, or they regain a few low voltage blips of electricity months or years later. IMO
 
  • #116
For anyone who has ever been forced to consent to cease life support this whole case must be painful and must be triggering a lot of people into unplanned guilt trips. I hope that there is resolution soon through the courts.
 
  • #117
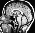
jahibrain.png
hope the photo works

http://www.dailymail.co.uk/news/art...d-moving-command-claiming-proves-s-alive.html

the screenshot from video

JMO and i'm no radiologist but it looks to me like her brain has pretty much liquefied in the middle. Part of the corpus callosum has been turned into a puddle and the rest looks pretty abnormal too.

019852403ximaging-techniques1.jpg

Here's what a more healthy brain looks like
http://blogs.discovermagazine.com/intersection/files/2009/07/019852403ximaging-techniques1.jpg
 
  • #118
Declaration of Dr. Alan Shewmon, filed with Alameda County Court: (4 pages)

http://www.thaddeuspope.com/images/declaration_of_D_Alan_Shewmon,_2014-10-03.pdf

I don't understand the remarks about how Shewmon had no time to receive the raw data from the EEG's. Why? Dolan was under no deadline to file the court papers, Jahi is not going anywhere, the whole thing was months late anyway, there was no reason that I can see they couldn't have waited for a few days for Shewmon to receive all the data. Better yet, fly him in to do some actual testing himself so he doesn't have to testify about second hand data that he hasn't seen.
 
  • #119
Brain injured patients have significant tone and spasticity and suffer from muscle spasms. That twitch of her foot looks like a spasm to me.


Sent from my iPad using Tapatalk

To me also. How many times did that foot move without mother asking for it to move? We can't know since all we saw is a short video of one instance of foot moving.
I also find the hand moving video peculiar. Somebody put a cup on her hand. Why? Obviously she is not going to drink from the cup. If they wanted to show her moving her hand, why stick a cup in her hand?
 
  • #120
View attachment 60706
hope the photo works

http://www.dailymail.co.uk/news/art...d-moving-command-claiming-proves-s-alive.html

the screenshot from video

JMO and i'm no radiologist but it looks to me like her brain has pretty much liquefied in the middle. Part of the corpus callosum has been turned into a puddle and the rest looks pretty abnormal too.

View attachment 60707

Here's what a more healthy brain looks like
http://blogs.discovermagazine.com/intersection/files/2009/07/019852403ximaging-techniques1.jpg

Correct. I'm no radiologist either, but the destruction here is so dramatic anyone can see it. The midbrain, corpus callosum, and pons are pretty much completely gone (probably necrotic and liquefied), including the lower medulla portion of the brain stem below the pons.The cerebellum appears to just be a lump or knob. And we have to remember that this is only ONE view-- there are hundreds of slices. Makes me wonder if this is the BEST view they obtained, not the worst.

Dr. Shewmon only mentions the pons briefly, almost in passing, before launching into a discussion about the remnants of cerebral cortex that remain. That seems very strange to bypass such significant portions of damage in his discussion, but we have to remember that he probably was contacted to see if he was willing to focus his comments on a very specific and narrow area of interpretation. I get the sense that he may have been recruited to be part of Dolan's team kind of late in the process. He is not required to be comprehensive or impartial in what he testifies to. (And his document is dated Oct 3. Dolan and Children's Hospital filed their memorandum and response with the court Sept. 30.)

With this much destruction, I really don't understand how a neurologist could think that it could be possible for Jahi to hear anything, or make any kind of voluntary movements. It seems very impossible, with those areas of the brain gone.

I also think it's interesting that of the team of Dolan's experts (Prestigiacomo, Machado, Labkovsky, Defina, etc) that Dr. Shewmon's declaration is the one that has been leaked onto the web ahead of the others. (I get the sense that he is their "rock star" expert. JMO.)

ETA: And I think we have to be forthright here. There are swaths of very critical brain tissue that are completely gone. That is more than "brain damage."

The brain of the 4 yo boy with meningitis who lived another 20 years after brain death was not completely liquefied-- it was calcified into an amorphous lump of rubbery tissue in the base of the cranium. (And his initial brain swelling was so extreme that the cranial sutures were split from the inside.) There were no discernible gross or microscopic structures. He had random spasmodic movements throughout the 20 years, also.
 
Status
Not open for further replies.

Guardians Monthly Goal

Members online

Online statistics

Members online
81
Guests online
1,495
Total visitors
1,576

Forum statistics

Threads
636,214
Messages
18,692,795
Members
243,565
Latest member
jahbulonabiff
Back
Top