GUILTY NC - Kathy Taft, 62, Raleigh, 6 March 2010 - #5

Status
Not open for further replies.
  • #161
Why would they check her stomach contents? I mean she lived for (I think) three more days. Wouldn't her digestion have taken care of those things?


Probably standard procedure
 
  • #162
I still think it was the lamp...
 
  • #163
Help me understand...With so much surgery why would someone be sent home the same day? Is that standard?
 
  • #164
The autopsy report helps explain DH's difficulty in explaining KT's surgery to 911. Several procedures.
 
  • #165
I don't think it is silly at all. From the report it seems like they are saying she was hit in that area. But, that is different from saying she was assaulted due to agressive intercourse/rape. It's not clear and I can't help but wonder whether JW's dna was found inside her vaginal cavity or very near it...or...I don't know...

ETA: If the sexual assault was not due to intercourse/rape, then that opens up the possibility that someone other than a man was responsible. I sure hope LE has the dna right...

diphi...JW did have intercourse and it was "rape".
It is stated as fact in the arrest warrant.
For that to be determined as fact, he must have deposited his semen in her vagina...confirmed by a DNA match.
 
  • #166
I still think it was the lamp...

"heavy blunt object".
Not sure a lamp base could pulverize her skull.
Sounds more like a hammer to me.
 
  • #167
diphi...JW did have intercourse and it was "rape".
It is stated as fact in the arrest warrant.
For that to be determined as fact, he must have deposited his semen in her vagina...confirmed by a DNA match.

Ok. Thanks. I'll go back and read the arrest warrant again.

Glad to hear from you.
 
  • #168
I have never really kept up with how long it takes, but I would imagine at least one year. No one has mentioned psychological evaluations. I would think he would have those done in light of some of the bizarre buzz about some aspects of the case.

They may want to get their own DNA expert once they are produced their discovery. That will take more time.

His team may contest the validity of the search warrant, so that could involved months of time. The day they released the SW of JW's apt., WTVD reported that there were problems with the SW based on what some local attorneys had reported to them.

I think there was a post here that said JW's court appointed attorney in Greenville was good friends with the victim's family. I'm not sure how that would pan out. Even if JW says he's okay with it, if he is convicted, he could turn around and claim ineffective counsel at his trial and say it was because of that family friendship. Why did they pick someone from Greenville do you think?

I think JW's choices are somewhat limited for representation bc of financial situation. Buddy Conner is from Greenville and knew Taft family. Greenville is a small town and EVERYONE knows TT and KT. TT and Buddy were both democrats and served in the Pitt Co. Bar Association at some point. They lived in the same neighborhood too. With that being said Buddy is a true professional and would NEVER jepordize his case...EVER. He is part of a group of attorneys that represent poor defendents in capital murder cases. It is his lifes work. A real bleeding heart. He has attended seminars all over the country studying capital murder defenses. If JW was my kid I would want Buddy for representation (I believe everyone deserves a good defense)
My concern is the same that was in mentioned in a news report about PC in obtaining the cigarette etc. Like I said before Buddy was the attorney that was responsible for discovering the bunk DNA in the Duke Lacross case. He is held in high regard in the legal community in NC and is NO JOKE. The defense will have all the experts etc necessary if this thing goes to trial. My guess it will get a plea if evidence proves solid on PC etc.
 
  • #169
Help me understand...With so much surgery why would someone be sent home the same day? Is that standard?
yes...the hospital is the WORST place to be. Outpatient procedures are the norm and she had no complications or other health concerns.
 
  • #170
  • #171
"heavy blunt object".
Not sure a lamp base could pulverize her skull.
Sounds more like a hammer to me.

Possibly. The autopsy report indicates a gaping wound 4" long and 2.5" wide. If a hammer was used it would have to have been used more than once to make a wound 4" long.

A lamp base could make a 4" long wound with one blow. I suppose it would depend on what the base was made of. I'm sitting here looking at my metal based lamp...I think I could seriously hurt someone with it if I wanted to...yes, I think I could crush their skull with it...
 
  • #172
The arrest warrant indicates probable cause that he did have vaginal intercourse with KT. I would assume probable cause would be the dna from a rape kit?

http://www.wral.com/asset/news/local/2010/04/19/7445405/20100419142339408.pdf

ETA:I'm not a lawyer but I can be picky and hard-headed like one...Is probable cause the same as fact?

I am very picky too! I am no legal expert either...but my question is how PC is obtained and surviellance observations that translates into solid evidence and the custody transfer of samples etc. If that is messed up then it could possibly lead to problems on his DNA collection after formal arrest etc. Im not sure how that works from suspect to evidence to arrest. Even if they had dna from rape kit...its how they connect it to JW...PC cigarette butt collection etc...that im not clear on
 
  • #173
Did he get into the house through an unlocked door? I'm not clear on that.

I know DH said something about hearing footsteps and then opening the door (?) and calling out if anyone was out there? Whew....that takes guts. If I had heard something, I would be peeking out and looking out every door and window under cover of darkness with a cell phone in my hand ready to dial 911......
 
  • #174
Still thinking about the hammer vs lamp as a murder weapon. IIRC, the search warrant included a lamp assembly, indicating the lamp stand had been broken. That tells me the lamp certainly wasn't metal; possibly ceramic.
 
  • #175
The arrest warrant indicates probable cause that he did have vaginal intercourse with KT. I would assume probable cause would be the dna from a rape kit?

http://www.wral.com/asset/news/local/2010/04/19/7445405/20100419142339408.pdf

ETA:I'm not a lawyer but I can be picky and hard-headed like one...Is probable cause the same as fact?

Well, "probable cause" is the term always used for an arrest or indictment.
The official "proof" comes at trial.
The only way to know JW penetrated her vagina with his penis would be his semen was obviously left inside KT. No doubt they have his DNA from this rape kit...IMO
 
  • #176
Did he get into the house through an unlocked door? I'm not clear on that.

I know DH said something about hearing footsteps and then opening the door (?) and calling out if anyone was out there? Whew....that takes guts. If I had heard something, I would be peeking out and looking out every door and window under cover of darkness with a cell phone in my hand ready to dial 911......

DH had said she forgot to lock the door before falling asleep on the couch.
She locked the door for the first time after hearing the noise in the night.
 
  • #177
Possibly. The autopsy report indicates a gaping wound 4" long and 2.5" wide. If a hammer was used it would have to have been used more than once to make a wound 4" long.

A lamp base could make a 4" long wound with one blow. I suppose it would depend on what the base was made of. I'm sitting here looking at my metal based lamp...I think I could seriously hurt someone with it if I wanted to...yes, I think I could crush their skull with it...




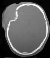
"The fracture was primarily in the center of the scalp defect, and there was marked depression of multiple comminuted fragments of skull.
Bone fragments were obtained from WakeMed pathology and consisted of some 22 pieces of bone in a "bone curettings" labelled container in alcohol. They were removed and pieced together. Following same it is noted that they
represent a 4" x 2" crescent shaped portion of the left parietal and temporal bones with a complex fracture pattern
======================================================

This devastating wound was a 'depressed' fracture in the center of the 4X2 crushed area of the skull.

Depressed skull fracture
"Depressed skull fractures, as shown in the image below, result from a high-energy direct blow to a small surface area of the skull with a blunt object such as a baseball bat or hammer. Comminution of fragments starts from the point of maximum impact and spreads centrifugally"

247017-248108-4158tn.jpg


Depressed Fracture– a fracture caused by force applied in a ‘focussed’ area e.g. by a hammer. The outer and inner tables of the skull are driven inwards, often causing damage to the brain or its coverings.

http://www.forensicmed.co.uk/pathology/head-injury/skull-fracture/
 
  • #178
It's really chilling to think of someone striking another that way while they are lying in their bed asleep. It's difficult to comprehend. I guess it's possible she was hit during the rape, since she had wragged fingernails. I believe those were derived during the attack. No way someone would take the trouble to paint their toe nails and not file their finger nails and leave them wragged.

Of course, as someone posted earlier, maybe the DNA they contend that matches JW came from skin cells found underneath her fignernails and is not in the form of semen or it could be semen and skin cells. THat would be incredible!

What do you make of the time lines as stated in the autopsy when KT was checked on in the A.M. The only thing I can figure is that hospital staff put in their notes it was 7:00-8:00 when in fact it was 9:30, right before the 911 call. Maybe DH didn't look at the time when she called 911 and when she got to the hospital gave approximate times of what time she thought it was when she checked on KT and called 911. That's all I can figure.
 
  • #179
What do you make of the time lines as stated in the autopsy when KT was checked on in the A.M. The only thing I can figure is that hospital staff put in their notes it was 7:00-8:00 when in fact it was 9:30, right before the 911 call. Maybe DH didn't look at the time when she called 911 and when she got to the hospital gave approximate times of what time she thought it was when she checked on KT and called 911. That's all I can figure.

That would make sense but unfortunately nothing about this crime makes any sense, thusfar!

My thoughts are on the head injuries from whatever the weapon was. IMO - the blows would have been to the face or top of head if they were facing each other. In trying to understand the autospy report, it reads to me that the fatal blow was from behind since it was just behind the ear. Weigh in for me JTF - you seem to understand this medical jargon.
 
  • #180
That would make sense but unfortunately nothing about this crime makes any sense, thusfar!

My thoughts are on the head injuries from whatever the weapon was. IMO - the blows would have been to the face or top of head if they were facing each other. In trying to understand the autospy report, it reads to me that the fatal blow was from behind since it was just behind the ear. Weigh in for me JTF - you seem to understand this medical jargon.


If the attacker assaulted her from behind and the injury was on her left side of the head, then the attacker most likely was left handed. I'm having trouble envisoning the sequence of events.
 
Status
Not open for further replies.

Guardians Monthly Goal

Staff online

Members online

Online statistics

Members online
90
Guests online
1,461
Total visitors
1,551

Forum statistics

Threads
636,413
Messages
18,696,663
Members
243,666
Latest member
TrynaFigureSumSh¡tOut
Back
Top