The state Rests in The State v. Jodi Arias: break in trial until 28 January 2013 #11

Status
Not open for further replies.
  • #681
Right... but how much blood in the skull if the bullet missed the brain and only traveled thru the sinus and jaw. That spray on the sink came from somewhere.

Isn't a ME's his 'medical opinion'?

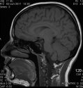
Did the ME actually state that it traveled only thru the sinus and jaw? I was certain that he said that it traveled through the brain. The sinus is an extremely small structure and the brain is only centimeters away from the skull. A bullet is larger than that IMO (2nd year medical student, worked on many cadaver's in lab but still of course a student and in no way an expert!) Stranger things have happened of course but I believe a medical examiner that has seen thousands of gun shot wounds, for all the reasons below but especially for the part that I bolded.

I have attached my own brain MRI to show the proximity of the brain to the front of the skull. As you can see from the front of the skull to the frontal lobe is mere centimeters. (Also in between the brain in the skull is filled with CSF and also large veins that would cause major bleeding. It's not just some ley-way site where everything's fine if you hit that area.). It was said the bullet entered from the right forehead above the brow and lodged in the left cheek. If you did a trajectory on an actual anatomical depiction of a brain MRI it would seem that it would have to enter the brain in order to lodge where it did, as the medical examiner stated. Also if it did not it would pierce through the optic nerves leaving TA unable to see. Also gun shot wounds cause skull fractures upon entry and it's a high impact force causing concussive damage and shock to the brain that injures parts of the brain that were never touched by the bullet. I just think TA would have been unable to travel as far as he did with a gun shot wound to the face at such close range. Also if you study forensic pathology close range gun shot wounds leave burnt on shoot and burn wounds to the skin around the site of entry. It is debatable how close she would have shot him though I guess. I also think it's very telling that the medical examiner didn't find much blood inside the cranial cavity which would be indicative of the victim having bled out prior to the shot as otherwise much bleeding would have occurred as the scalp, facial area, eyes, and frontal lobe have extensive blood supply. Also I believe the medical examiner is the person that would know for certain whether the bullet entered the brain or not. He has seen inside of TA's cranial cavity. Even though the brain was too decomposed to examine the bones do not decompose. He would have been able to see the trajectory through the bones, it would have had to enter the cranial cavity and exit the cranial cavity into the cheek to hit the brain. I just can't imagine that it would just go through TA's sinuses and not enter his cranial cavity at all and this ME not be able to tell the difference in bony trajectory that never decomposes. There can be no error in that. This is why I believe TA was shot last. All MOO and JMO.

I hope one day after JA is convicted she decides to tell the details of what she did to TA!
 

Attachments

  • 11ws.jpg
    11ws.jpg
    114.3 KB · Views: 25
  • #682
What about a throat cut after you were almost dead wouldn't be extreme cruely too... just asking? Just the overkill would show extreme cruelty IMO.

yea - idk - i think the difference might be cuz martinez said he was 100% dead rather than almost - he pushed that point - maybe if he is almost dead she can still say he was a threat? - then its not extreme cruelty and not qualify for the death penalty?
 
  • #683
There was no evidence of blood coming from any of TA's wounds. Per the prosecution. It has been assumed that his body was washed off in the shower stall after all wounds were inflicted.

And of course, that may be 100% wrong!

I don't "think" there is any evidence to substantiate. :)

Seems to me the evidence photographs of his body prove your point.
 
  • #684
IMO if you plan to kill someone and set out to do it with ...lets say, a crappy old gun that jams....during the commission of felony murder the weapon jams ...so you pick up a brick to finish the job ...it's still premeditated murder. You intended and premeditated murder...the weapon or means of murder is irrelevant.

Isn't it always considered premeditated when two weapons are used? jmo
 
  • #685
No to beat a dead horse, but is there a photo that clearly shows entry point of the bullet. Maybe the autopsy illustration. I'll have to look at that.
Yes there is. Right above the right eyebrow, bullet lodging in his left cheek.
 
  • #686
The slashed throat was an immediate and fatal wound. He would be unconscious within about 15 seconds, possibly less.
 
  • #687
Isn't it always considered premeditated when two weapons are used? jmo

It's always premeditated when the perp knows their actions will result in a death and they still attack/shoot/stab or keep doing so. The number and type of weapons is not part of the equation to determine premeditation.
 
  • #688
Madeleine. Of course I agree with you 100% but the defense can probably show many instances of overkill by an abused person.

I know you have seen many shows where the bad-guy/rapist/enemy soldier/etc get shot like with every bullet or stabbed over and over. Panic, blackout, primal fear... they might try all that stuff IMO.
 
  • #689
Did the ME actually state that it traveled only thru the sinus and jaw? I was certain that he said that it traveled through the brain. The sinus is an extremely small structure and the brain is only centimeters away from the skull. A bullet is larger than that IMO (2nd year medical student, worked on many cadaver's in lab but still of course a student and in no way an expert!) Stranger things have happened of course but I believe a medical examiner that has seen thousands of gun shot wounds, for all the reasons below but especially for the part that I bolded.

I have attached my own brain MRI to show the proximity of the brain to the front of the skull. As you can see from the front of the skull to the frontal lobe is mere centimeters. It was said the bullet entered from the right forehead above the brow and lodged in the left cheek. If you did a trajectory on an actual anatomical depiction of a brain MRI it would seem that it would have to enter the brain in order to lodge where it did, as the medical examiner stated. Also if it did not it would pierce through the optic nerves leaving TA unable to see. Also gun shot wounds cause skull fractures upon entry and it's a high impact force causing concussive damage and shock to the brain that injures parts of the brain that were never touched by the bullet. I just think TA would have been unable to travel as far as he did with a gun shot wound to the face at such close range. Also if you study forensic pathology close range gun shot wounds leave burnt on shoot and burn wounds to the skin around the site of entry. It is debatable how close she would have shot him though I guess. I also think it's very telling that the medical examiner didn't find much blood inside the cranial cavity which would be indicative of the victim having bled out prior to the shot as otherwise much bleeding would have occurred as the scalp, facial area, eyes, and frontal lobe have extensive blood supply. Also I believe the medical examiner is the person that would know for certain whether the bullet entered the brain or not. He has seen inside of TA's cranial cavity. Even though the brain was too decomposed to examine the bones do not decompose. He would have been able to see the trajectory through the bones, it would have had to enter the cranial cavity and exit the cranial cavity into the cheek to hit the brain. I just can't imagine that it would just go through TA's sinuses and not enter his cranial cavity at all and this ME not be able to tell the difference in bony trajectory that never decomposes. There can be no error in that. This is why I believe TA was shot last. All MOO and JMO.

I hope one day after JA is convicted she decides to tell the details of what she did to TA!

The defense tried to get the ME to say multiple times the bullet missed the brain. He kept refusing asserting that it had indeed passed thru his frontal lobe.
 
  • #690
She does that during alot of what we know are lies. When she is sure of herself she looks the questioner right in the eyes.

You are so right......I am really noticing that!

Sent from my Kindle Fire using Tapatalk 2
 
  • #691
  • #692
The defense tried to get the ME to say multiple times the bullet missed the brain. He kept refusing asserting that it had indeed passed thru his frontal lobe.

Thanks I haven't been able to watch the trial or keep up with this fast paced thread! I wasn't sure if things have changed since what I have seen on the news.
 
  • #693
And the judge ruled that there's sufficient evidence of extreme cruelty whether he was shot first or stabbed first.

no the judge hasn't ruled extreme cruelty - she ruled there is enough evidence to present that theory to the jury - just like she ruled that the defense team could present their theory of self defense to the jury - judge hasn't confirmed anything
 
  • #694
LOL....I would love to send a memo to the Prosecutor and ask him to quote you on this....best line ever. He could just say what you typed and sit down and leave them with egg on their face,lol. It is just so simple to me when I read it like that.....'course she is guilty as sin.:what:


I know, right? There's nothing to suggest any history of abuse or violence. So we're to take the word of this accomplished liar through her attorneys that Travis had a rageful and violent history enough to cause JA to fear for her own life enough to react so viciously in self-defense like she did.

IMO wet naked men only possess one potential weapon and I don't think JA brought that out in him, if you catch my drift.
He was completely defenseless.
 
  • #695
Did the ME actually state that it traveled only thru the sinus and jaw? I was certain that he said that it traveled through the brain. The sinus is an extremely small structure and the brain is only centimeters away from the skull. A bullet is larger than that IMO (2nd year medical student, worked on many cadaver's in lab but still of course a student and in no way an expert!) Stranger things have happened of course but I believe a medical examiner that has seen thousands of gun shot wounds, for all the reasons below but especially for the part that I bolded.

I have attached my own brain MRI to show the proximity of the brain to the front of the skull. As you can see from the front of the skull to the frontal lobe is mere centimeters. (Also in between the brain in the skull is filled with CSF and also large veins that would cause major bleeding. It's not just some ley-way site where everything's fine if you hit that area.). It was said the bullet entered from the right forehead above the brow and lodged in the left cheek. If you did a trajectory on an actual anatomical depiction of a brain MRI it would seem that it would have to enter the brain in order to lodge where it did, as the medical examiner stated. Also if it did not it would pierce through the optic nerves leaving TA unable to see. Also gun shot wounds cause skull fractures upon entry and it's a high impact force causing concussive damage and shock to the brain that injures parts of the brain that were never touched by the bullet. I just think TA would have been unable to travel as far as he did with a gun shot wound to the face at such close range. Also if you study forensic pathology close range gun shot wounds leave burnt on shoot and burn wounds to the skin around the site of entry. It is debatable how close she would have shot him though I guess. I also think it's very telling that the medical examiner didn't find much blood inside the cranial cavity which would be indicative of the victim having bled out prior to the shot as otherwise much bleeding would have occurred as the scalp, facial area, eyes, and frontal lobe have extensive blood supply. Also I believe the medical examiner is the person that would know for certain whether the bullet entered the brain or not. He has seen inside of TA's cranial cavity. Even though the brain was too decomposed to examine the bones do not decompose. He would have been able to see the trajectory through the bones, it would have had to enter the cranial cavity and exit the cranial cavity into the cheek to hit the brain. I just can't imagine that it would just go through TA's sinuses and not enter his cranial cavity at all and this ME not be able to tell the difference in bony trajectory that never decomposes. There can be no error in that. This is why I believe TA was shot last. All MOO and JMO.

I hope one day after JA is convicted she decides to tell the details of what she did to TA!

Thank you, thank you, thank you. You did an excellent job of explaining what happened.
 
  • #696
Afaik, there's no evidence at all about where the knife came from or where it went.

There was testimony, in response to a juror's question, that there were no knives missing and no sets of knives missing a knife in Travis' home.
 
  • #697
Did the ME actually state that it traveled only thru the sinus and jaw? I was certain that he said that it traveled through the brain. The sinus is an extremely small structure and the brain is only centimeters away from the skull. A bullet is larger than that IMO (2nd year medical student, worked on many cadaver's in lab but still of course a student and in no way an expert!) Stranger things have happened of course but I believe a medical examiner that has seen thousands of gun shot wounds, for all the reasons below but especially for the part that I bolded.

I have attached my own brain MRI to show the proximity of the brain to the front of the skull. As you can see from the front of the skull to the frontal lobe is mere centimeters. It was said the bullet entered from the right forehead above the brow and lodged in the left cheek. If you did a trajectory on an actual anatomical depiction of a brain MRI it would seem that it would have to enter the brain in order to lodge where it did, as the medical examiner stated. Also if it did not it would pierce through the optic nerves leaving TA unable to see. Also gun shot wounds cause skull fractures upon entry and it's a high impact force causing concussive damage and shock to the brain that injures parts of the brain that were never touched by the bullet. I just think TA would have been unable to travel as far as he did with a gun shot wound to the face at such close range. Also if you study forensic pathology close range gun shot wounds leave burnt on shoot and burn wounds to the skin around the site of entry. It is debatable how close she would have shot him though I guess. I also think it's very telling that the medical examiner didn't find much blood inside the cranial cavity which would be indicative of the victim having bled out prior to the shot as otherwise much bleeding would have occurred as the scalp, facial area, eyes, and frontal lobe have extensive blood supply. Also I believe the medical examiner is the person that would know for certain whether the bullet entered the brain or not. He has seen inside of TA's cranial cavity. Even though the brain was too decomposed to examine the bones do not decompose. He would have been able to see the trajectory through the bones, it would have had to enter the cranial cavity and exit the cranial cavity into the cheek to hit the brain. I just can't imagine that it would just go through TA's sinuses and not enter his cranial cavity at all and this ME not be able to tell the difference in bony trajectory that never decomposes. There can be no error in that. This is why I believe TA was shot last. All MOO and JMO.

I hope one day after JA is convicted she decides to tell the details of what she did to TA!

The ME clearly said he could not know for sure as the brain was so rapidly deteriorated he could not conclude. He offered that it was quite possible. I drew a 50-50 conclusion from his explanation. He does not know for sure... but we know the prosecutors are rolling with that theory, given that inconclusive proffer. I say he was shot first. She came for a gun death if he did not comply.. no way she stabbed him first in my mind.
 
  • #698
The fact the victim was stabbed/slashed 27+ times, had his throat sliced open ear to ear and was shot in the head legally proves the charge of premeditation. In that 90 seconds Jodi knew she was killing Travis, intended to kill Travis, and kept going to finish the killing, rather than leave him injured but alive. The victim was "overkilled" which is not usually a factor in self-defense, but is often indicative of a rage killing. The perp's actions after the murder, the coverup, the trying to remove evidence from the scene, not reporting the incident, lying repeatedly about it, etc. show consciousness of guilt. In other words, the perp (Jodi) knew she murdered Travis, intended to murder Travis, and then she attempted to cover it up. That is enough to prove first degree (premeditated) murder and is enough to disprove a self-defense killing.

I disagree. According to my theory, the extreme violence was to prevent the victim of what was supposed to be a fatal gunshot from escaping into the common area of the house and sealing the fate of Jodi right there, on the spot. No way she was letting him keep on yelling or get out of that room -- whatever it took. The prosecution disagrees with me. They think she brought a gun on purpose, but used a knife instead because, well, I don't know why they think she used a knife instead. They think she used a knife on a guy bigger and stronger than her, even though Jodi brought a gun and even though they have no explanation for where the knife came from and why it just happened to be in the bathroom at the time. I think it wasn't.
 
  • #699
Thanks I haven't been able to watch the trial or keep up with this fast paced thread! I wasn't sure if things have changed since what I have seen on the news.

Thanks for your post.

Is it possible to make it out of the shower to the sink area in your opinion after getting that wound just nicking/hitting the frontal lobe?

Could he have staggered/stumbled/crawled down the hall with it IYO?
 
  • #700
Did the ME actually state that it traveled only thru the sinus and jaw? I was certain that he said that it traveled through the brain. The sinus is an extremely small structure and the brain is only centimeters away from the skull. A bullet is larger than that IMO (2nd year medical student, worked on many cadaver's in lab but still of course a student and in no way an expert!) Stranger things have happened of course but I believe a medical examiner that has seen thousands of gun shot wounds, for all the reasons below but especially for the part that I bolded.

I have attached my own brain MRI to show the proximity of the brain to the front of the skull. As you can see from the front of the skull to the frontal lobe is mere centimeters. (Also in between the brain in the skull is filled with CSF and also large veins that would cause major bleeding. It's not just some ley-way site where everything's fine if you hit that area.). It was said the bullet entered from the right forehead above the brow and lodged in the left cheek. If you did a trajectory on an actual anatomical depiction of a brain MRI it would seem that it would have to enter the brain in order to lodge where it did, as the medical examiner stated. Also if it did not it would pierce through the optic nerves leaving TA unable to see. Also gun shot wounds cause skull fractures upon entry and it's a high impact force causing concussive damage and shock to the brain that injures parts of the brain that were never touched by the bullet. I just think TA would have been unable to travel as far as he did with a gun shot wound to the face at such close range. Also if you study forensic pathology close range gun shot wounds leave burnt on shoot and burn wounds to the skin around the site of entry. It is debatable how close she would have shot him though I guess. I also think it's very telling that the medical examiner didn't find much blood inside the cranial cavity which would be indicative of the victim having bled out prior to the shot as otherwise much bleeding would have occurred as the scalp, facial area, eyes, and frontal lobe have extensive blood supply. Also I believe the medical examiner is the person that would know for certain whether the bullet entered the brain or not. He has seen inside of TA's cranial cavity. Even though the brain was too decomposed to examine the bones do not decompose. He would have been able to see the trajectory through the bones, it would have had to enter the cranial cavity and exit the cranial cavity into the cheek to hit the brain. I just can't imagine that it would just go through TA's sinuses and not enter his cranial cavity at all and this ME not be able to tell the difference in bony trajectory that never decomposes. There can be no error in that. This is why I believe TA was shot last. All MOO and JMO.

I hope one day after JA is convicted she decides to tell the details of what she did to TA!

It's great to see you here! We DEFINITELY need people here who have a little medical training! Thanks so much for your input!
 
Status
Not open for further replies.

Guardians Monthly Goal

Staff online

Members online

Online statistics

Members online
245
Guests online
2,126
Total visitors
2,371

Forum statistics

Threads
637,346
Messages
18,713,251
Members
244,114
Latest member
princeeditor
Back
Top